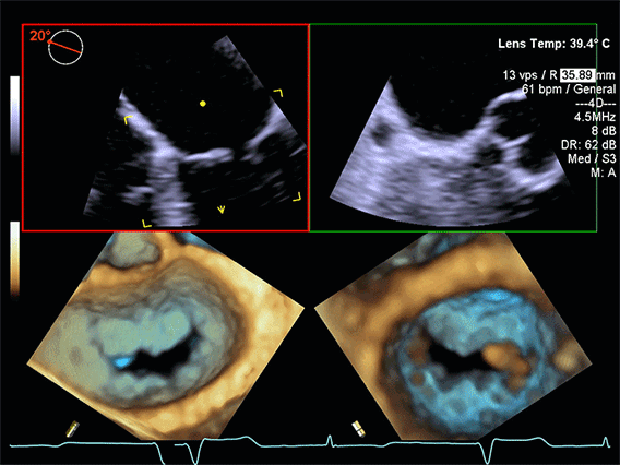
Transezofagealna ehokardiografija (TEE) predstavlja naprednu ultrazvučnu metodu pregleda srca koja omogućava detaljan uvid u strukturu i funkciju srčanih komora, zalistaka i velikih krvnih sudova. Uvođenjem 3D i 4D tehnologije, ova metoda je značajno unaprijeđena, pružajući preciznije i realističnije prikaze srca nego ikada ranije.
U Ordinaciji Dr Mačkić sada je dostupna savremena 3D/4D transezofagealna ehokardiografija, koja omogućava vrhunsku dijagnostiku brojnih srčanih oboljenja uz maksimalnu sigurnost i komfor za pacijenta.
Šta je 3D i 4D TEE?
Za razliku od standardnog ultrazvuka srca (transtorakalnog pregleda), TEE se izvodi pomoću sonde koja se uvodi kroz jednjak, čime se dobija mnogo bliži i jasniji prikaz srca.
3D i 4D tehnologija omogućava:
- trodimenzionalni prikaz srčanih struktura
- real-time (u stvarnom vremenu) vizualizaciju pokreta zalistaka
- preciznu procjenu anatomije i funkcije srca
4D ehokardiografija zapravo predstavlja 3D prikaz u realnom vremenu, što je posebno korisno kod kompleksnih srčanih oboljenja.

Prednosti 3D/4D transezofagealne ehokardiografije
- izuzetno precizan prikaz srčanih zalistaka (mitralni, aortni, trikuspidni)
- bolja procjena težine valvularnih bolesti
- detaljna analiza struktura koje se teško vide standardnim ultrazvukom
- precizno planiranje intervencija (hirurških i kateterskih)
- otkrivanje tromba i infekcija (endokarditis)
- procjena urođenih srčanih mana (npr. PFO, ASD)
Kada se preporučuje TEE pregled?
Vaš kardiolog može preporučiti transezofagealnu ehokardiografiju u sljedećim situacijama:
- sumnja na bolest srčanih zalistaka (npr. mitralna regurgitacija ili aortna stenoza)
- procjena uzroka moždanog udara (isključenje tromba ili PFO)
- dijagnostika infektivnog endokarditisa
- procjena prije kardiohirurških ili intervencijskih zahvata
- nejasan nalaz na standardnom ultrazvuku srca
- sumnja na tromb u lijevom atriju kod atrijalne fibrilacije
Kako izgleda pregled?
TEE pregled se izvodi u kontrolisanim uslovima, uz lokalnu anesteziju grla i po potrebi blagu sedaciju. Sonda se pažljivo uvodi kroz jednjak, a sam pregled traje obično 10–20 minuta.

Prikaz 3D/4D TEE Sonde kojom se vrši pregled
Pacijent tokom pregleda ne osjeća bol, već eventualno blagu nelagodu, dok medicinski tim kontinuirano prati stanje pacijenta.
Da li je pregled siguran?
Transezofagealna ehokardiografija je sigurna i rutinska metoda koja se svakodnevno koristi u savremenoj kardiologiji. Komplikacije su izuzetno rijetke, a pregled se izvodi pod nadzorom iskusnog kardiologa.
Zašto odabrati Ordinaciju Dr Mačkić?
U Ordinaciji Dr Mačkić koristimo jedan od najsavremenijih ultrazvučnih sistema sa 3D i 4D mogućnostima, što omogućava vrhunsku dijagnostiku na nivou vodećih evropskih centara.
- savremena 3D/4D tehnologija
- iskusan kardiološki tim
- brza dostupnost termina
- individualni pristup svakom pacijentu

Siemens Acuson Origin AI uređaja pomoću kojeg se radi najsavremeniji TEE pregled u Ordinaciji Dr Mačkić
Naš cilj je da pacijentima pružimo preciznu dijagnozu i optimalan plan liječenja u što kraćem vremenu.
Zaključak
3D i 4D transezofagealna ehokardiografija predstavlja vrhunac savremene dijagnostike srca. Zahvaljujući ovoj tehnologiji, moguće je rano otkriti i precizno procijeniti brojna srčana oboljenja, što direktno utiče na izbor terapije i ishod liječenja.
Ukoliko imate tegobe ili vam je preporučen detaljan pregled srca, u Ordinaciji Dr Mačkić možete uraditi kompletan kardiološki pregled uključujući i najsavremeniji TEE pregled.
Reference
- ESC Guidelines for the diagnosis and treatment of acute and chronic heart failure (2021)
- EACVI Recommendations for the use of echocardiography in valvular heart disease (2023)>
- ASE Guidelines for Performing a Comprehensive Transesophageal Echocardiographic Examination (2020)
- EACVI Position Paper on 3D Echocardiography (European Heart Journal Cardiovascular Imaging)